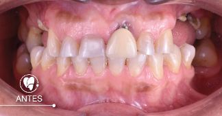
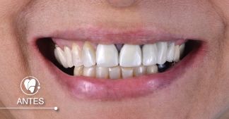
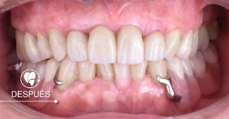
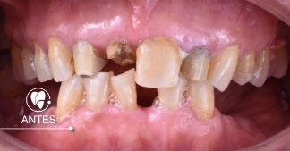
Conoce algunas experiencias EDES
ESPECIALIDADES
DISEÑO DE SONRISA
Orientado a transformar la sonrisa mediante la planificación estética y funcional de los dientes. Ofrece una solución integral para conseguir una sonrisa equilibrada, saludable y acorde a cada paciente.
IMPLANTOLOGÍA
Dirigida al reemplazo de piezas dentales perdidas mediante la colocación quirúrgica de implantes dentales. Al día de hoy se considera una de las formas más eficaces de rehabilitación dental.
ODONTOLOGÍA GENERAL
Encargada del primer nivel de atención de los problemas de la cavidad oral, convirtiéndose en la base fundamental para un diagnóstico y plan de tratamiento adecuado.
ENDODONCIA
Se ocupa de la prevención, diagnóstico y tratamiento del tejido del nervio dental. Nuestros profesionales alivian el dolor y eliminan infecciones pulpares.
ORTODONCIA
Estudia, previene y corrige alteraciones físicas del desarrollo bucodental y facial, las formas de las arcadas dentarias y la posición de los maxilares, con el fin de restablecer el equilibrio morfológico y funcional de la boca y del rostro, mejorando en simultáneo, la estética facial. Se interviene en adultos y niños.
CIRUgÍA BUCAL
Se encarga de diagnosticar y tratar quirúrgicamente las enfermedades, defectos y traumatismos de los dientes, huesos maxilares y sus tejidos adyacentes. Comprende todo tipo de extracciones dentales y cirugías de tejidos duros y blandos.
REHABILITACIÓN ORAL
Encargada de restaurar y recuperar la estética y la función oclusal del paciente, a través del correcto diagnóstico y ejecución de un plan de tratamiento que permita alcanzar este y otros objetivos necesarios y particulares en cada caso.
PERIODONCIA
Estudia la prevención, diagnóstico y tratamiento de las enfermedades que afectan a las encías, al cemento radicular y al hueso alveolar, siendo estas principalmente la gingivitis y periodontitis.
